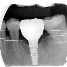
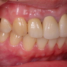
門牙牙套失敗後的植牙重建
一般而言,前牙的植牙會比後牙植牙要來得複雜,因為門牙不僅要有咀嚼的功能外還需要美Read more
專注於自然、美學、細節

對於已經被拔除的牙齒,人工植牙是目前為止最佳的重建方式,她不但可以恢復喪失的咀嚼功能,同時讓鄰牙不必為了做牙橋而受到傷害.以下為植牙的流程介紹.
初診:初診將拍攝環口x光片,可以初步了解您的口腔與骨頭狀況,您可以跟醫師討論目前的問題與需求,我們將提供可能的治療方式與大略費用和時間,如果確定想在茉莉治療,將會收取5000元資料收集費用,資料收集包括:印取模型,做頭顱上顎骨關係轉移,拍攝照片與全口電腦斷層.資料收集將有助於醫師全盤了解您的問題,從而訂定精確的治療計畫.資料收集費用將會抵扣在未來的植牙費用裡.
治療計畫解說:第二次會面,我們會解釋治療計畫,您將了解所有的費用及治療所需的時間.
我們會將適當尺寸的人工植體植入計畫好的位置中,植體將如同自然牙的牙根,扮演著支持未來牙冠的角色.手術都在局部麻醉下進行,所以過程幾乎是無痛的.如果您特別敏感或容易緊張,我們也提供口服鎮靜劑或舒眠鎮靜的選項,幫助您克服對於手術的恐懼.
縫線將在術後7-14天拆除,之後依傷口復原情形,只需每個月定期回診追蹤,植體依照骨質情況,在2-6個月骨整合完成後,將進入贋復階段.
假牙的製作將分三次,首先將植體接出,並製作臨時假牙.接下來印模,製作正式牙冠.最後試戴牙冠並完成.
第一年需要每三個月做門診追蹤,第二年之後,則改為六個月追蹤一次.每次回診我們將會做牙菌斑控制及x光檢查.
身體的一些疾病如:骨質疏鬆,糖尿病,心臟病等,會影響到植牙的成功率或手術的進行,所以事先須要有詳細的評估,關於身體疾病對植牙的影響請參考here
經由全口電腦斷層檢查,可以明確的知道植牙區骨頭的3D結構,從而了解您是否適合植牙,判斷根據可以參考植牙區需不需要補骨補肉
視萎縮程度的多寡,我們可以藉由骨頭再生術(GBR),獲得植牙所需的骨量.
我們有口服鎮靜劑或舒眠鎮靜的方案選擇,讓您可以在淺層鎮靜的狀態下完成手術,可以減低術中的緊張與不適.
茉莉只使用Straumann(ITI)植體,她是目前全球第一大植體品牌,由瑞士Straumann公司生產,詳細資訊請參考here
• 專科執刀:植牙醫師皆為植牙學會專科醫師,同時具有贋復假牙專科訓練背景.
• 五年保固:保固期間內,任何問題皆免費修理,同時您將有一份保證書,載明您所使用的植體型號及牙冠材質,資訊完全透明.
• 全球第一:Straumann(ITI)為全球第一市佔率的植體品牌,為目前邊緣骨流失最少的植體系統之一,同時也是台大與各大教學醫院指定使用品牌,歷史悠久且具有最完整的研究文獻背書.
• 精準定位:診所備有目前全球頂級的德國KaVo電腦斷層,您不須再到影像中心拍攝,同時可以做到手術中拍攝定位,最佳化植體位置,避免植體位置不佳或是損害神經的風險.
• 豐富經驗:我們有完整的案例分享,品質會為我們說話 .
一般而言,前牙的植牙會比後牙植牙要來得複雜,因為門牙不僅要有咀嚼的功能外還需要美Read more
一般植牙都是植在已經缺失的牙齒部位,但當我們面對一個需要拔除的牙齒時,可以評估在Read more
愛喝咖啡的Jessie, 因為偏黃的齒色及下顎缺牙來茉莉求診。 做過矯正的她牙齒Read more
如何利用兩根植體讓鬆動的全口假牙重新穩固
文章導讀 面對缺牙,選擇「人工植牙」還是「傳統牙橋」常讓患者陷入兩難。牙橋不需手Read more
植牙前有那些身體疾病是我們要注意的
文章導讀 植牙的成功不僅在於「植入」,更關鍵的是術前的精密規劃。導引式植牙透過數Read more
植牙品牌的分辨與選擇建議
什麼是人工植牙? 人工植牙是現代牙科醫師治療缺失牙齒的主要方式,不僅可以避免固定Read more
補骨是植牙過程中常見的輔助治療,由於植體需要被齒槽骨完整的包覆,才能長久的承受咀Read more
為什麼要做鼻竇增高術? 鼻竇位於上顎小臼齒與大臼齒的上方,是一個空腔,與齒槽骨隔Read more
雖然人工牙根已日漸普及,但植牙手術屬於侵入性處置,醫師在決定患者進Read more
在決定好要植牙後,最重要的便是評估缺牙區是否適合植牙,由於拔完牙齒之後,骨頭便開Read more
植牙手術的絕對禁忌症,主要是基於手術及麻醉風險的考量,例如急重症病患和未受控制的Read more
[contact-form][contact-field label='姓名' type='text' required='1'/][contact-field label='電話' type='text' required='1'/][contact-field label='Email' type='email' required='1'/][contact-field label='諮詢項目' type='textarea'/][/contact-form]
