我可以吃銅鑼燒了!一個阿嬤的植牙故事

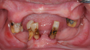
婆婆剛來的時候口腔狀況很差,長期配戴的活動假牙早已經鬆動不合,口內僅存的幾顆牙齒也岌岌可危

DSC_5665

DSC_5664

婆婆很節省,一直說年紀大了,不用花大錢做牙齒,唯一的希望就是可以吃個銅鑼燒.幫她檢查了剩餘的牙齒,因為牙周病與蛀牙的緣故,口內的牙齒必須全部拔除.在有限的預算裡,我們只能用製作全口假牙去恢復咬合功能.

DSC_5663

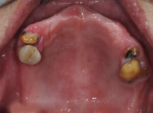
在下顎骨脊幾乎只剩一條線的狀況下,可以預見未來下顎活動假牙的穩定度一定很差.所以在治療的規劃裡,在下顎植了兩顆人工植體,利用植體去幫助假牙穩定.

DSC_3478

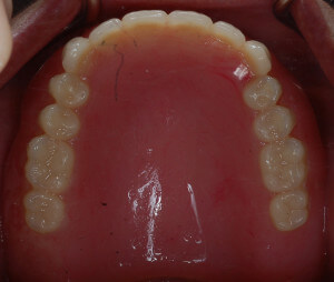
全口活動假牙製作

DSC_3317 DSC_3315

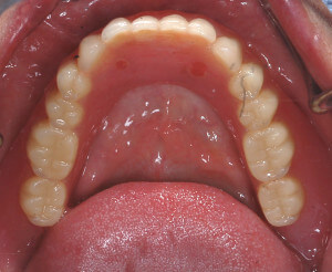
假牙在口內配戴狀況

DSC_3482

DSC_3481

完成的下顎活動假牙會有兩個墊圈,利用兩個橡皮墊的力量幫助假牙穩定

DSC_3477

前後比較圖

DSC_5663 DSC_3483

結語

活動假牙的不穩定鬆動,常是造成老年人不愛配戴,導致牙口不好營養不良的主因.而假牙的鬆動通常來自於下顎,此時不必花大錢做全口植牙,我們可以僅僅藉助兩顆植體去達到穩定活動假牙的效果,通常治療完正常飲食都沒有問題,同時療程簡單效果良好.

 

 

 

 

我可以吃銅鑼燒了!一個阿嬤的植牙故事
Tagged on: