案例007|骨暴笑齦與大範圍蛀牙的美學處裡
患者的困擾:蛀牙讓牙齒顏色不均勻,大笑時牙齦會露出很多 1.主要訴求: 改善牙齒Read more
專注於自然、美學、細節
患者的困擾:蛀牙讓牙齒顏色不均勻,大笑時牙齦會露出很多 1.主要訴求: 改善牙齒Read more
患者的困擾:多年前做了陶瓷貼片,但笑容改善不多,希望有更亮白的顏色 1.主要訴求Read more
患者的困擾:蛀牙讓牙齒顏色不均勻,笑起來總是很尷尬 1.主要訴求: 改善牙齒顏色Read more
患者的困擾:笑起來歪歪的,蛀牙顏色不好看 主要訴求: 改善牙齒顏色 希望可以改善Read more
患者的困擾:做過許多次美白,但是顏色總是不盡人意,排列雖然整齊,但總覺得可以更好Read more
患者的困擾:舊假牙顏色不均,影響準新娘婚紗照拍攝 C小姐是一位很愛笑的準新娘,對Read more
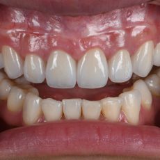
您是否也曾因「笑齦」而不敢開懷大笑?或是因「大範圍蛀牙」導致牙齒顏色不均、經歷無Read more
齒顎矯正能將牙齒排列整齊,但矯正的時間通常不短,至少一至兩年的時間,如果中間遇到Read more
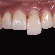
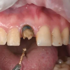
門牙重覆的蛀牙與大範圍的樹脂填補,時間久了顯得很不美觀 移除掉舊的補牙,把蛀牙大Read more
對於想改善牙齒顏色的朋友,通常第一個想到的是冷光或居家牙齒美白,不過冷光美白的效Read more
