患者的困擾:舊假牙顏色不均,影響準新娘婚紗照拍攝
C小姐是一位很愛笑的準新娘,對即將到來的婚禮與婚紗照充滿憧憬。然而,舊有的假牙顏色不自然、顯得暗沉,與周圍真牙格格不入,希望尋求改善.
口內牙齒狀況與美學挑戰:
- 舊假牙顏色不佳: 影響整體笑容的和諧與美觀。
- 拆除後發現牙齒底色深: 舊假牙拆除後,發現牙齒本身的底色非常黑,這對美學修復是一大挑戰,全瓷冠需要更強的遮色能力。


建議解決方案:更換舊假牙,基礎治療與微笑曲線重塑
1. 術前評估與數位微笑設計 (DSD):
- 詳細口腔檢查: 全面評估口腔健康,確保牙周與牙齒基礎狀況良好,為美學重建奠定穩固基礎。
- 數位口掃: 建立3D口腔模型,方便醫師評估與患者溝通。
- 口內微笑模擬: 透過口內實際模擬,與C小姐共同討論並預覽未來笑容的形態、顏色與比例,比較可以減少試戴正式時的誤差。
2. 舊假牙拆除與牙齒基礎處理:
- 拆除舊假牙,並重新根管治療。
- 遮色方案: 針對牙齒底色過黑的問題,使用二氧化鋯全瓷冠進行修復。二氧化鋯具備優異的遮色能力,能有效阻擋深色牙本質的透光,確保最終顏色自然亮白。
3. 全瓷冠與陶瓷貼片製作:
- 二氧化鋯全瓷冠: 針對顏色較深或需大範圍修復的牙齒,我們採用了高強度、高遮色力的二氧化鋯全瓷冠,確保牙齒顏色均勻且自然。
- 二氧化鋯陶瓷貼片: 對於其他需要美學改善的牙齒,我們也選用二氧化鋯材質的陶瓷貼片,可以與全瓷冠擁有一致的質感與光學。
- 駐院技師協作: 透過與駐院美學技師的溝通與現場比色,確保最終成品無論在形態、顏色或透光度上,都符合設計藍圖,避免了裝牙後的調整與爭議。
4. 最終試戴:
- 在正式黏著前,進行試戴,確認顏色、咬合與形態皆符合C小姐的理想。
- 最終黏著,為婚紗照做好最充分的準備。
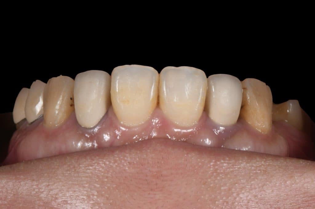
案例照片分享:
術後可以發現,選用相同材質的全瓷冠與片可以很融洽的呈現相同質感

Professional Profile
本文作者:黃英泰 醫師

學術資歷
- 英國曼徹斯特大學 (University of Manchester)
贋復學碩士 MPhil, Prosthodontics - 台北醫學大學牙醫系學士
專長領域
- 前牙美學重建、陶瓷貼片
- 全瓷冠修復、數位笑容設計
診療理念: 結合在英國深造的學術嚴謹度與藝術審美,我致力於將數位與手工融合應用於牙齒美學,為患者創造可預期且能持久維持的自信笑容。
案例002|一個新娘子的全瓷冠故事
