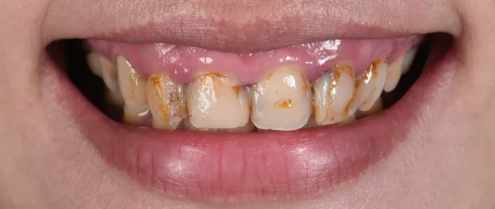
案例005|大範圍蛀牙,顏色不均的前牙美學處理

患者的困擾:蛀牙讓牙齒顏色不均勻,笑起來總是很尷尬 1.主要訴求: 改善牙齒顏色Read more
專注於自然、美學、細節

患者的困擾:蛀牙讓牙齒顏色不均勻,笑起來總是很尷尬 1.主要訴求: 改善牙齒顏色Read more

患者的困擾:笑起來歪歪的,蛀牙顏色不好看 主要訴求: 改善牙齒顏色 希望可以改善Read more

患者的困擾:做過許多次美白,但是顏色總是不盡人意,排列雖然整齊,但總覺得可以更好Read more

患者的困擾:舊假牙顏色不均,影響準新娘婚紗照拍攝 C小姐是一位很愛笑的準新娘,對Read more

您是否也曾因「笑齦」而不敢開懷大笑?或是因「大範圍蛀牙」導致牙齒顏色不均、經歷無Read more

主要訴求:改善下排不整齊與稍微嘴突的問題 臨床的矯正分析:骨性暴牙(相關的骨性暴Read more

主要訴求:改善嘴突與笑齦的問題 臨床的矯正分析:骨性暴牙(相關的骨性暴牙介紹,可Read more

主要訴求:改善側門牙內凹與嘴突的問題 臨床的矯正分析:骨性暴牙(相關的暴牙介紹,Read more

主要訴求:改善側門牙內凹與稍微嘴突的問題 臨床的矯正分析:齒性暴牙(相關的暴牙介Read more

齒顎矯正能將牙齒排列整齊,但矯正的時間通常不短,至少一至兩年的時間,如果中間遇到Read more