文章導讀
前牙大範圍的樹脂填補,常因材料老化、邊緣微滲漏導致重覆蛀牙與變色。本案例解析如何透過複合式治療——包含精準根管治療、玻璃纖維釘重建及全瓷美學修復,解決深度蛀牙引發的齒質受損問題。透過術後兩年的追蹤觀察,驗證了全瓷冠與貼片在牙齦相容性與邊緣密合度上的卓越表現,重塑具備自然層次的立體笑容。
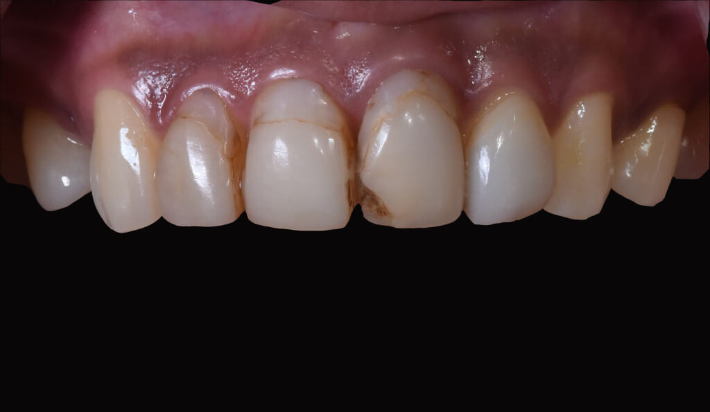
在美學門診中,我們經常遇到患者門牙因重複蛀牙,經歷多次大範圍樹脂填補。樹脂雖然在小範圍修復表現良好,但面對大面積缺損時,其抗磨耗性不足與邊緣染色的特性,往往會讓笑容顯得突兀且不美觀。此外,深層蛀牙更可能波及牙髓,導致牙齒變色甚至壞死。
術前分析:樹脂填補的極限與美感缺失

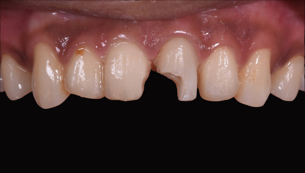
臨床治療階段:移除病灶與結構重建
移除舊有的補牙材料後,我們發現左上正中門牙(21)因齲齒深度過深,牙髓已出現壞死徵兆。在美學修復開始前,必須先建立穩固的地基。我們為其進行了精密的根管治療,並選擇置入**玻璃纖維釘(Fiber Post)**。
選用玻璃纖維釘的關鍵原因,在於其物理性質(彈性模數)與自然齒質相近,能有效分散咬合應力,降低牙根折裂風險;同時其優異的透光性,能確保後續全瓷冠呈現出如同自然牙般的淨透感,避免金屬牙釘導致的牙齦發黑問題。


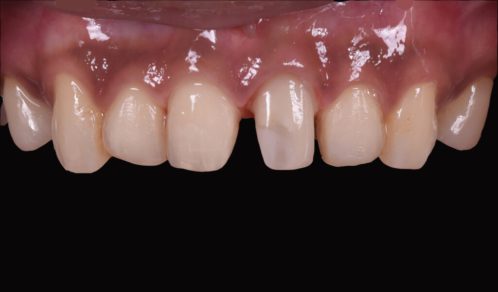
修復階段:全瓷美學的實踐與試戴
針對不同程度的缺損,我們採取了複合式設計:受損較重的牙齒選用**全瓷冠**提供完整保護,其餘則使用**陶瓷貼片**進行微創修復。在正式黏著前,我們透過精細的試戴(Try-in)流程,確認邊緣密合度、透光度以及與臉型的整體協調性。

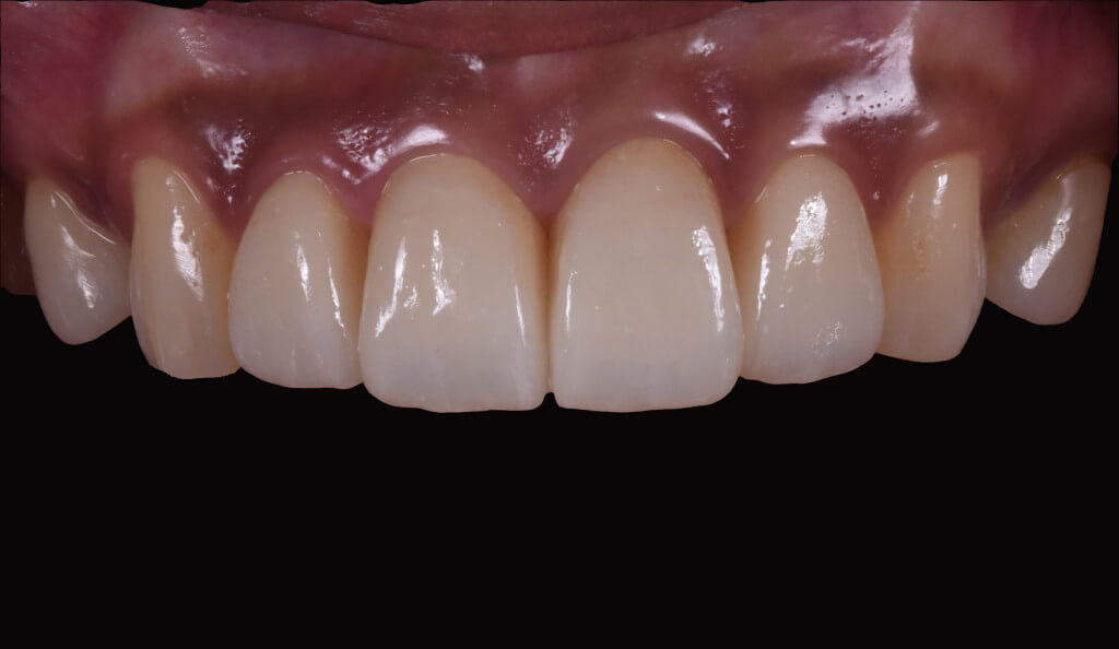
術後追蹤:長期穩定的美學成果
兩年後的定期回診觀察,可以看到全瓷材料展現出極佳的生物相容性。牙齦組織維持在健康的粉紅色狀態,且邊緣無任何發炎或黑線產生。相較於兩年前的樹脂填補狀況,全瓷修復體即便經過長時間的咬合與環境挑戰,依然維持著穩定的色澤與高密合度。


Professional Profile
本文作者:黃英泰 醫師

學術資歷
- 英國曼徹斯特大學 (University of Manchester)
贋復學碩士 MPhil, Prosthodontics - 台北醫學大學牙醫系學士
專長領域
- 前牙美學重建、陶瓷貼片
- 全瓷冠修復、數位笑容設計
診療理念: 結合在英國深造的學術嚴謹度與藝術審美,我致力於將數位與手工融合應用於牙齒美學,為患者創造可預期且能持久維持的自信笑容。
門牙樹脂補牙染色與蛀牙後的貼片重建

請問價位
您好 價位請來電諮詢,或到以下連結留下資料,我們將與您聯絡 謝謝!