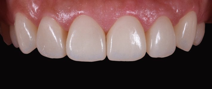
案例002|一個新娘子的全瓷冠故事

患者的困擾:舊假牙顏色不均,影響準新娘婚紗照拍攝 C小姐是一位很愛笑的準新娘,對Read more
專注於自然、美學、細節

患者的困擾:舊假牙顏色不均,影響準新娘婚紗照拍攝 C小姐是一位很愛笑的準新娘,對Read more

全瓷冠的種類 1. 玻璃陶瓷:主要成分為二矽酸鋰,有可透光至不可透光的各式Read more

陶瓷貼片是很多人想做卻又擔心會有副作用的一種美容療程.薄薄的一片瓷Read more

齒顎矯正通常可以解決較嚴重的牙齒排列問題,但由於長時間的矯正器配戴Read more

也許在社群軟體或網路上會看到標榜著不磨牙/不打麻藥/完全無痛/一天就可以永久美白Read more

Nita是位開設畫室的美術老師 因為門牙不整齊來到茉莉就診 堅決不想作矯正的她 Read more

全瓷貼片改善門牙補牙染色的流程,及全瓷冠與貼片的優缺點比較
Read more
T本來是來治療牙周病的, 前牙經過了治療之後,牙肉雖然恢復健康,但牙齒之間的牙縫Read more