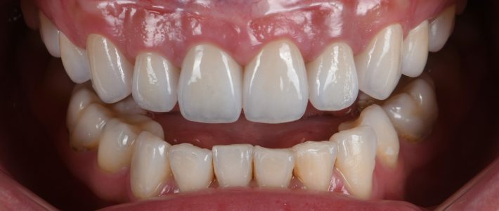
案例007|骨暴笑齦與大範圍蛀牙的美學處裡

患者的困擾:蛀牙讓牙齒顏色不均勻,大笑時牙齦會露出很多 1.主要訴求: 改善牙齒Read more
專注於自然、美學、細節

患者的困擾:蛀牙讓牙齒顏色不均勻,大笑時牙齦會露出很多 1.主要訴求: 改善牙齒Read more

最近常看到推薦去上海做陶瓷貼片的廣告,強調低價,快速,有保固.影片裡介紹了不同的Read more


全瓷冠有哪些品牌?品牌重要嗎? 全瓷冠的品牌比較有名的有3M LAVA、VitaRead more

牙齒為什麼會變黃? 在介紹牙齒美白之前,我們先來了解牙齒是為什麼變黃的?造成黃牙Read more

看診這麼多年,看過許多做了陶瓷貼片卻不滿意想要重作的患者。歸納出來常見的不滿意Read more

全瓷冠的種類 1. 玻璃陶瓷:主要成分為二矽酸鋰,有可透光至不可透光的各式Read more

矯正後牙齒雖然整齊了,為什麼笑起來還是缺少了甚麼?想要笑起來好看,牙齒並不是只要Read more

陶瓷貼片跟全瓷冠會不會有色差呢? 在臨床上,常會面對到全瓷冠需要與陶瓷貼片搭配的Read more

薄薄的一片瓷牙貼片為什麼價格會跟全瓷冠一樣貴?這可能是許多人的疑問,其實就牙醫師Read more