看診這麼多年,看過許多做了陶瓷貼片卻不滿意想要重作的患者。歸納出來常見的不滿意情況有:覺得外型太暴,貼片顏色太白或太黃,排列不好歪斜,自拍起來不好看!?由於陶瓷貼片不能像一般假牙一樣可以帶回家試用,所以偶爾會出現回家看了不滿意,卻因為黏死而無法修改的狀況,如果貼片要重作的話,則可能會被要求再繳一次費用。
經過這幾年經驗的累積,我們逐漸發展出一套標準化流程,可以增加患者對於貼片的滿意度,以下是我的心得整理,分享給網友們
1.面對患者:
通常患者第一次來諮詢時,我會請患者轉個方向,跟他們面對面說話.因為笑容是整體的,牙齒做得再漂亮,如果沒有跟臉型表情搭配,也沒有辦法幫患者加分.平時牙醫師看診的位置是在患者背後,只面對口腔與牙齒,是沒有辦法看到全貌的.只有與患者面對面,觀察他們說話的神情與笑容,心裡才會有一個完整的重建藍圖.通常有經驗的美容牙科醫師,在幾分鐘的談話,就會知道要如何改善笑容。
來茉莉做笑容重建的患者,都需要拍人像照與錄影,這些是牙齒是否可以與臉部搭配的關鍵,看患者說話與笑容的錄影,可以讓我發現許多照片上看不到的小細節,這些都對之後的假牙設計有幫助。
2.了解患者的期待
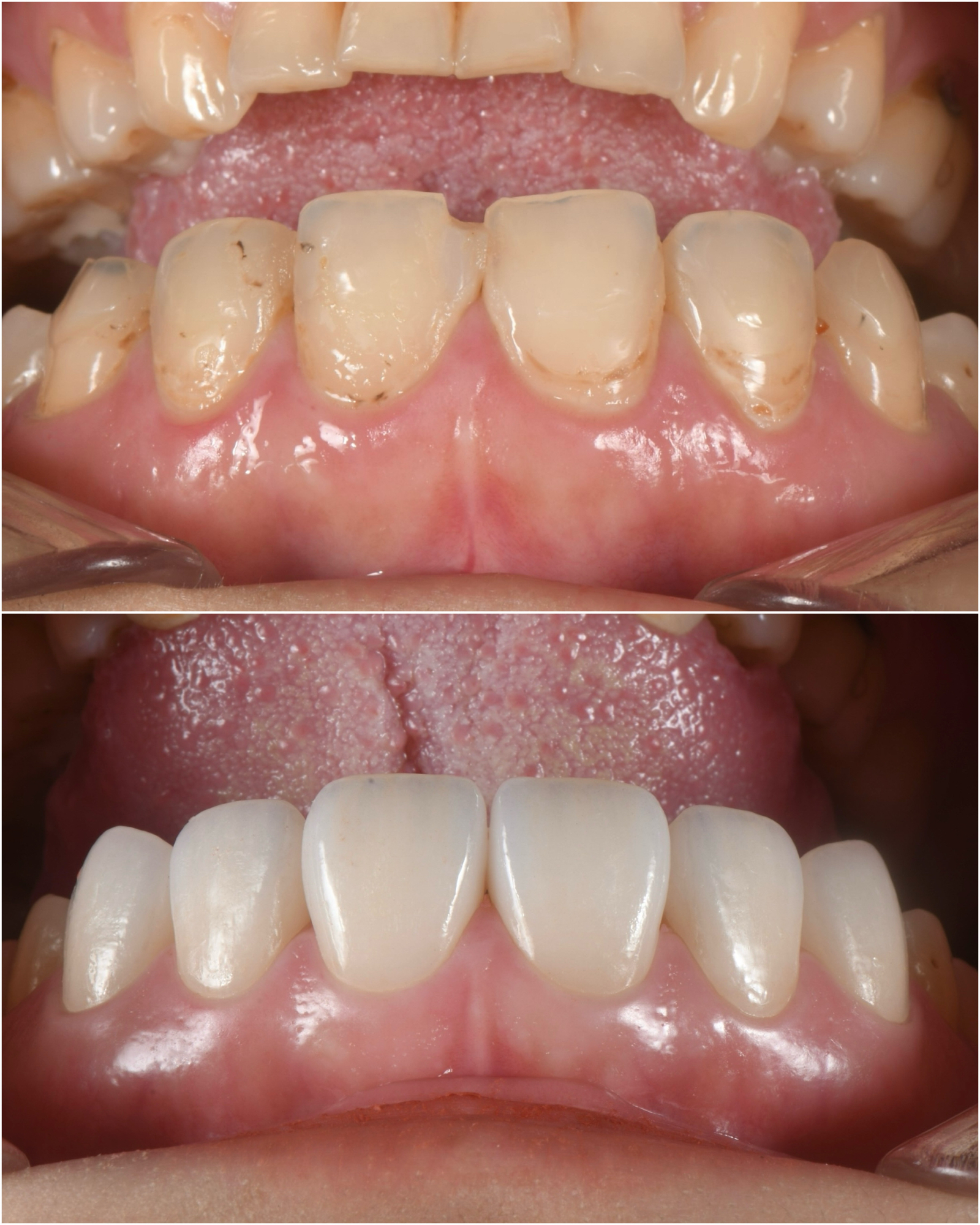
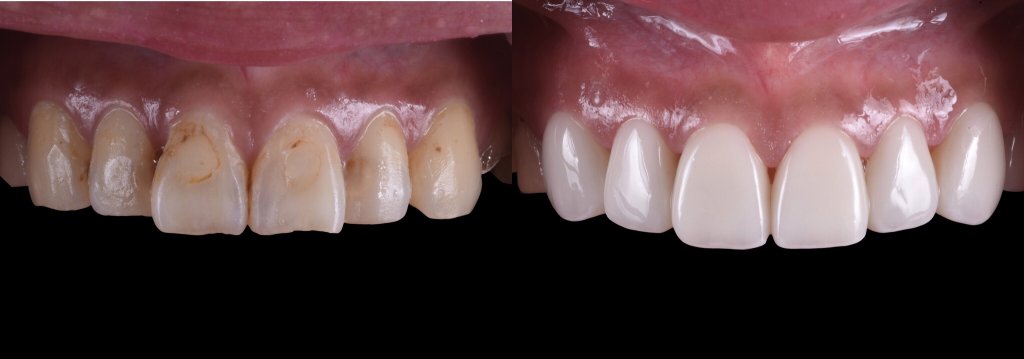
了解患者的期待很重要,暴牙想變得不暴,亂牙想變的超整齊,都是對貼片不切實際的想法。有些患者來的時候牙齒狀況很糟,可能是大範圍的蛀牙或是根管治療變黑,平時對自己的笑容有很大的障礙,這樣的患者我可以放手去做,他們的接受度高,也是滿意度最高的一個族群。

- 矯正後的牙齒染色變黃相當嚴重.只要調整好顏色與形狀,通常滿意度都很高.
有一部份患者是為了笑容加分而來的,本身條件就很好,也許只是覺得顏色不夠白,或是想要上鏡頭漂亮,這樣的患者溝通比治療還重要,需要利用各種方式去了解患者的期望,也許是影像也許是事前的模擬,因為美是主觀的,醫生認為的美,患者可能不認同,如何能在做之前達到共識,是考驗醫生的地方。

為了暸解患者的需求,諮詢之前我會請患者先填一張問卷,從問卷中我可以大概了解患者的個性與來這裡的動機。有些患者會帶一些明星的照片,希望之後笑容會像她們一樣,這也可以幫助我去了解她們的期望。不過IG上的照片通常經過了美化,我通常會請患者在我的案例中,去選擇她們比較喜歡的類型,這樣比較貼近真實。
3.誠實回答,不給太高的期望:
有些醫師會為了接到case,而給出太不切實際的承諾。貼片由於本身就有厚度,最適合用在加法的治療,也就是讓牙齒變大,或是牙齒內凹的加厚。對於需要減法的治療,如將牙齒變小或是暴牙內收,則不是很適合,或是改善有限。另外做出來的外型,也要注意是否會影響咬合,如果貼片造成咬合干擾,卻為了滿足患者而硬做,硬做的結果就是貼片容易損壞,或是患者對成果不滿意。
4.事前的模擬:
目前的模擬(Mock up)分成兩種,平面的數位微笑設計DSD與實際的口內模擬,大部分的DSD(Digital smile design)都是屬於2D,就是藉由電腦軟體去畫出未來牙齒的外型,好處是速度快可以快速溝通,壞處是平面的,可能跟未來真實的成品有落差。口內模擬是比較精準的做法,由技師在模子上刻臘,然後再把外型轉移到患者口中,也是我比較常用的做法。但並不是所有情況都可以做事先模擬,遇到想要讓牙齒秀氣一些,或是本來就有點暴牙的患者,則需要修磨牙齒後才能做模擬。

- DSD模擬前後

- 將未來外型在口中模擬比較
5.試戴時的顏色確認
一般在白天晴朗的光線下,看顏色最準。但是試戴的時間不可能都在白天,所以診所的燈光很重要。我在燈光的配置上,盡量使用5500度色溫的白光,演色性也要在95以上,目的是希望可以試戴時光線不會造成判斷上的誤差,避免在診所看起來顏色還可以,但回家看顏色會有差距的窘境。
另外試戴用黏膠(try in paste)也很重要,貼片的厚度很薄,不管是牙齒或是黏膠的顏色,都會透出來影響最後的成果,試戴時貼片上有沒有黏膠,顏色絕對不會相同。我使用的品牌有出試戴用黏膠,可以在試戴時看到最後的貼片成色,試戴以後用水就可以沖掉,相當方便。只是很貴大概跟黃金一樣貴,而且用的很兇,因為可能不只試戴一次,不過為了可以確認顏色,我覺得這樣的成本是必需投入的。
使用貼片專用的黏膠,大家可能不知道,黏膠光照固化以後是會變色的,如果貼片剛好又做的很薄,就會有黏上以後變黃的情況,因此貼片需要用專門的黏膠黏。有些不常做貼片的診所,也許一年才做一組,可能不會特地再準備貼片專用的黏膠,就可能出現黏完變黃的情況。我使用的黏膠是ivoclar vivadent的貼片專用黏膠,變色程度為零,但相對的成本也很高。但用好的材料避免日後的問題,我覺得對患者跟對自己都是好事。

- 試戴用的黏膠,只是為了確認顏色,確認之後就可以沖掉

- 正式固定用黏膠,有多種顏色可以選擇

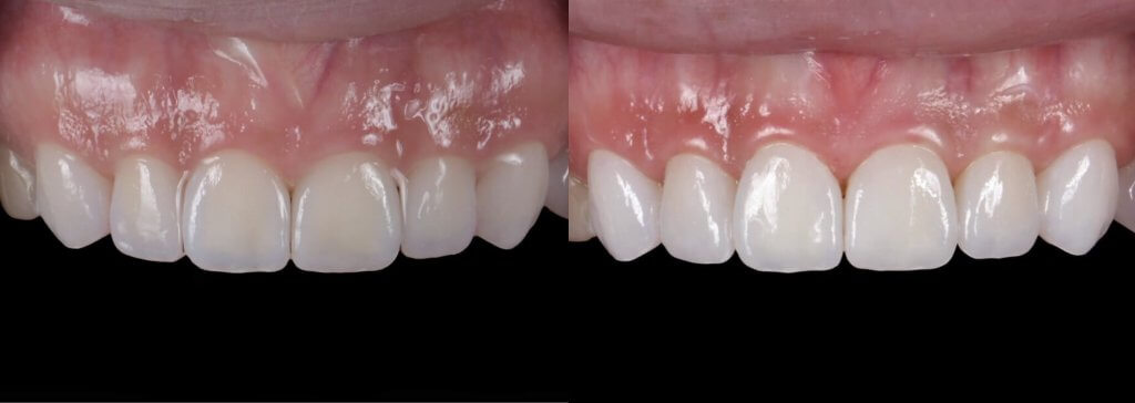
- 左圖為沒有黏膠的顏色,右圖為黏好後的顏色,可以發現黏膠的有無會影響到最後的顏色差異.
6. 試戴的時間
一組6-8顆的貼片,我會安排5-6個小時的試戴時間,這中間黏與調整的時間約2小時,其他的時間用來確認外型與顏色。為什麼要留這麼多的時間確認?通常看到新的笑容一定會不習慣,所以我會留比較長的時間讓患者與貼片相處一陣子,幫患者拍照與錄影,讓她們可以從鏡頭中看看自己新的笑容,這比較貼近於平時與朋友社交的視角。我也鼓勵患者帶朋友或家人來,請他們給意見,可以為自己的選擇增加信心,帶女性友人會比帶男友好,男生大而化之,通常只會有很好啊不錯喔的回應。
2019年開始,我聘請了駐診的技師,技師可以當面面對患者,作出來的成品也可以更貼近患者需求。目前所有的貼片調整都可以在當天完成,包含顏色、外型的加減,甚至於當天重新製作貼片也可以,這些都是希望可以更順暢的完成療程,減少患者來回調整的次數。

- 拍攝人像照,有助於溝通與更了解貼片對外觀的改變.












您好 如果是覺得顏色做的真的太白 重做會傷到真牙嗎 請問你們一顆的費用
您好 重做的話,不會傷到真牙,只是內部如果有蛀牙需要修補完,費用的部份歡迎來電詢問喔
牙齒排列不整齊有牙周病⋯針對微笑時才會看到的牙齒做矯正⋯有需要滿口整嗎?費用大概多少?
您好 能不能只做前牙矯正,需要醫師現場評估,歡迎來電預約02-27711227 謝謝!