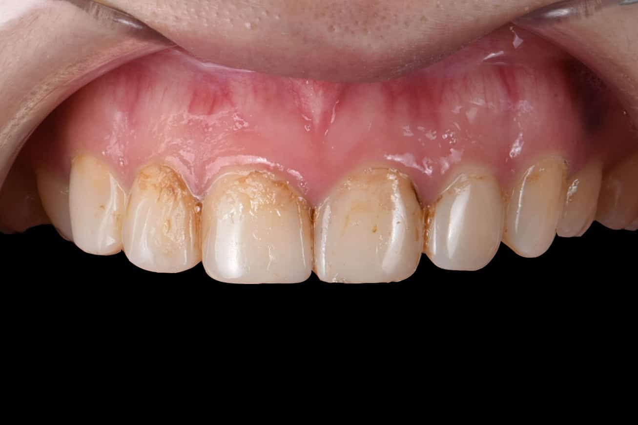
矯正後牙齒蛀牙或泛黃是常見的併發症,這也會使得原本齒質就容易蛀牙的患者,牙齒表面出現脫鈣或顏色不均的情形.門牙顏色太黃最容易讓人感覺笑起來看不到牙齒,會有不太開朗的錯覺.
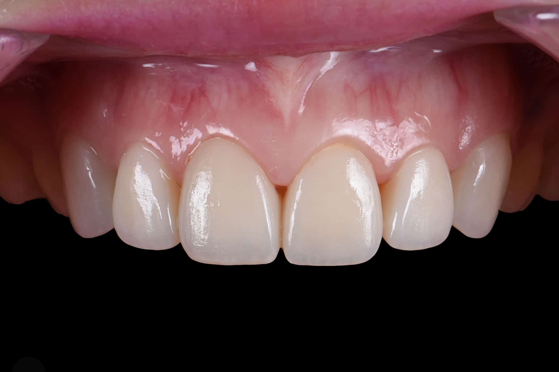
通常這樣的問題又合併補牙染色的患者,非常適合用陶瓷貼片來改善.藉由貼片的厚度跟表面的光澤,就可以達到視覺上讓門牙突出且美白的效果.以下便以一個例子,來介紹陶瓷貼片如何改善門牙泛黃與補牙染色.
Yuan來的時候,主訴是覺得門牙顏色暗沉,笑起來不好看,希望做冷光美白
經過笑容分析,可以發現Yuan的門牙角度內凹,同時補過多次的樹脂皆已染色合併二度蛀牙


如果直接做冷光美白,牙齒將會非常痠痛,導致效果不佳.
黃醫師建議用陶瓷貼片改善門牙角度與染色問題,
同時因為貼片只磨外側面,可以充分地保留內部牙齒結構,避免抽神經的可能



前後笑容比較
Yuan|陶瓷貼片與全瓷冠




請問做完美白貼片後,如果長期吃中藥會造成染色嗎? 如果會,洗牙會有用嗎?
您好 中藥並不會造成表面染色,如果真的有染色,則需要回診請醫師確定染色原因,洗牙無法去除掉染色喔.
請問陶瓷貼片一顆價位多少 多顆能分期嗎
您好 價格請來電諮詢02-27711227,並沒有分期喔。
那可以刷卡嗎
不好意思 我們只收現金喔!