牙齒為什麼會變黃?
1.內在的牙齒變色:
2.外在的牙齒染色:
日常生活中的飲料如茶、咖啡、可樂、紅酒,都會形成污漬附著在牙齒表面,另外抽菸與嚼檳榔也都會影響齒色.
不同的牙齒美白方式介紹
1.美白牙膏
牙膏中都添加有研磨劑,而美白牙膏的研磨顆粒較粗,可以比較有效率的去除外在染色,但就像拿粗顆粒的砂紙磨牙齒一樣,對於牙齒表面的傷害較大,另外牙齒表面如果有樹脂填補物的話,可能會磨傷填補物的表面,因此並不建議天天使用.有的美白牙膏聲稱含有過氧化物,但停留在牙齒的時間過短而且濃度過低,對於內在的牙齒染色,可以說幾乎沒有幫助.
優點:取得容易,低侵入性
缺點:只對外在染色有效,而且無法立即見效
費用:150~1000元。

2.牙粉
可說是美白牙膏的加粗版,靠著顆粒粗大的磨擦劑,將牙齒表面污漬去除,只對外在的染色有效.很容易因為力道控制不良造成牙齒表面的傷害.
優點:可去除菸垢、檳榔垢等深色的色素沉澱,費用低取得容易.
缺點:傷害琺瑯質,刺激口腔黏膜及傷害牙齦.
費用:100元
3.美白貼片
藥妝店可買到的貼片,其中含有過氧化物即俗稱的漂白劑,可以改善內在牙齒染色,由於法律的規範,化妝品類的貼片濃度較低,所以美白的效果緩慢,適合有耐心的消費者.
優點:對內在染色有效,取得容易,低侵入性,價格低廉可以自行操作
缺點:美白效果緩慢,貼片非客製化,無法完整包覆牙齒,會有藥劑過少或溢出的風險.
費用:1000元。
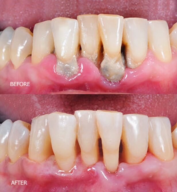
4.洗牙
洗牙主要是去除牙結石,並不會針對外在的染色做清理,使用超音波洗牙機清洗牙齒表面,也會有刮傷牙齒表面的疑慮.洗牙可以減少牙菌斑與結石,可以增加口腔的潔淨度,建議每半年定期洗牙一次,有效預防蛀牙、牙周病。
優點:定期洗牙可以同時為牙齒做健檢,對口腔健康有很大幫助
缺點:僅清洗牙結石,對內外在染色的效果有限
費用:健保給付。

5.居家美白
居家美白從藥妝店到診所都有,不同在於漂白劑的濃度與美白牙托的密合度,可以自行使用的通常牙托較不密合,且藥劑濃度低,美白效果會比較緩慢.牙醫診所的美白牙托則是經過印模量身訂做,同時藥劑濃度高,可以得到比較可以預期與有效的美白效果.
優點:費用較低可以在家進行,如果使用上持之以恆效果可以比冷光美白持久
缺點:需要有耐心使用,如果無法持續使用,效果非常有限.藥劑可能對牙齦造成刺激
費用:2000~10000元。

6.噴砂美白
利用含有碳酸氫鈉的顆粒合併高壓及水柱,以特殊的噴砂機移除牙齒表面色素沉澱,可以有效去除菸垢、檳榔垢、咖啡垢、茶垢等,每次療程約15~20分鐘,只能恢復原有的牙齒顏色,但無法將牙齒變白.
優點:對於外在染色是最有效的改善方法,費用相對冷光而言較低
缺點:無法改善牙齒的原色,術後容易牙齦流血。
費用:3-5000元

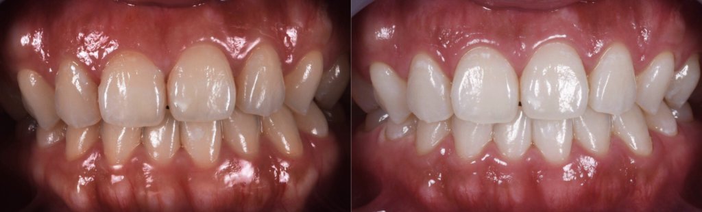
7.冷光美白
主要改善內在的染色,利用高濃度過的過氧化氫美白劑,加上LED藍光照射,進行氧化還原作用,達到快速美白的效果.照冷光主要是增加藥劑的美白效率,實質的作用並沒有得到研究證實,牙齒變白的主要原因是使用了高濃度的藥劑,效果約可維持半年.關於冷光的注意事項可以參考冷光美適合每個人嗎?原理,價位與副作用總整理.
冷光美白一定要在診所施作,由於藥劑濃度很高,事前的保護措施需要做好,同時經過醫師檢查評估後才可以施作.目前有很多非診所的冷光美白中心,雖然使用的是與診所相同的冷光設備,但使用的藥劑並不含漂白劑,也沒有研究證實有效,因此美白效果可能只是牙齒暫時脫水所致.
優點:可以改善牙齒的原色,美白效果立即,做一次就看得出效果.
缺點:藥劑濃度高,會有短暫的牙齒敏感,白斑與牙齦刺激。
費用:1萬~2萬元。

8.陶瓷貼片
陶瓷貼片的適應症包含修復外型,調整排列與改善齒色,作法是將牙齒表面修掉一層,再貼上製作好的陶瓷貼片.根據患者的要求可以選擇不同的齒色,顏色可以達到冷光美白到達不了的色階,同時不會有回色的問題,貼片的顏色基本上是永久維持的.由於考量到牙齒變暴雨密合度的問題,只有極少數的狀況可以做不磨牙貼片,在絕大部分的狀況下,貼片都是需要修牙齒的,是一種不可逆的美容方式,因此在決定接受這樣的美容療程時,需要謹慎考慮同時慎選有經驗的貼片診所.詳細資訊可以參考為笑容上妝,陶瓷貼片的材質、價位、製作方式及案例介紹
優點:美白效果幾乎永久,同時可以微調微笑線與排列,與全瓷冠相比,對牙齒的損壞小很多。
缺點:需要磨牙,為不可逆的療程,製作困難,對於醫師的美感與經驗要求很高.
費用:每顆2-3萬元。

結語
牙齒美白的方式很多,在選擇美白療程之前,讀者應該先了解自己牙齒的狀況,同時衡量對齒色改善的期待,諮詢專業牙醫師之後,再做選擇.

