Nini│ 冷光美白

冷光美白 (9)冷光美白 (6)
笑起來總是甜甜的Nini是位美妝保養部落客
每件會讓自己變美變健康的事情 Nini粒都勇於嘗試
曾經矯正過牙齒的Nini粒 擁有令人稱羨的貝齒
但 喝咖啡的習慣 導致牙齒變黃
讓Nini粒有所顧忌 就算開心時也無法開懷大笑
透過冷光美白的療程
Nini粒 擁有潔白自信的笑容
出席活動也更加亮麗
一個認真生活樂於分享的女孩
也請大家多多支持她
Nini粒⋈ Special column

 

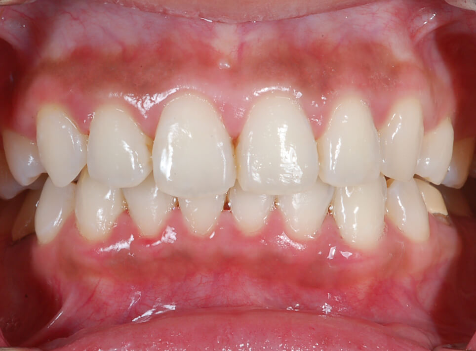
冷光美白後
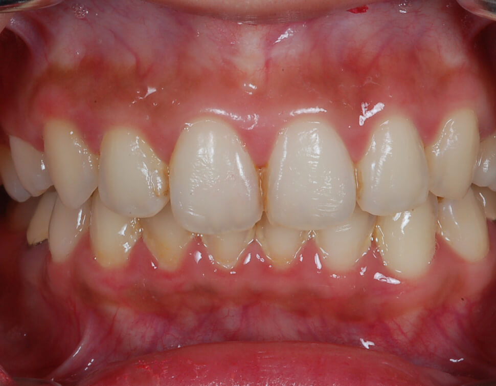
冷光美白前
冷光美白後
冷光美白後
Nini│ 冷光美白

發佈留言

發佈留言必須填寫的電子郵件地址不會公開。 必填欄位標示為 *