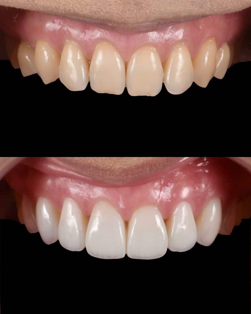
Yuchi 原本有牙齒排列不整齊與齒色偏黃的問題


冷光美白或居家美白並無法有效改善這麼黃的顏色,同時會有容易回色的困擾
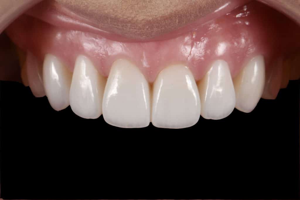
上排總共製作了8顆陶瓷貼片,利用貼片保留齒質的特性減少磨牙的量,在最小的傷害下,達到牙齒美白與門牙快速矯正的目的

術後笑容


前後比較
Yuchi |美白陶瓷貼片
專注於自然、美學、細節
Yuchi 原本有牙齒排列不整齊與齒色偏黃的問題


冷光美白或居家美白並無法有效改善這麼黃的顏色,同時會有容易回色的困擾
上排總共製作了8顆陶瓷貼片,利用貼片保留齒質的特性減少磨牙的量,在最小的傷害下,達到牙齒美白與門牙快速矯正的目的

術後笑容


前後比較
請問若對牙齒形狀不滿意,做單顆貼片是可行的嗎
您好 在咬合沒問題的情況下,貼片是可以微調形狀的,做單顆也可以。