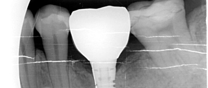
植牙前該知道的兩三事-我有糖尿病適合植牙嗎?人工植牙治療的禁忌症介紹

植牙手術的絕對禁忌症,主要是基於手術及麻醉風險的考量,例如急重症病患和未受控制的Read more
專注於自然、美學、細節

植牙手術的絕對禁忌症,主要是基於手術及麻醉風險的考量,例如急重症病患和未受控制的Read more

成因 四環黴素是一種常用而有效的抗生素,但當懷孕婦女或7歲前的兒童服用這類型的抗Read more

臨床上常遇到受損牙齒該不該保留的選擇,這對於一位每天面對不同口腔狀況的牙醫師來說Read more

植牙前注意事項 1.植牙手術前儘量維持口腔衛生清潔。 2.植牙手術前一星期及術後Read more

開咬的定義是咬合時上下門牙的切端沒有接觸,而呈現一種開放的狀態.在混和齒列期,開Read more

輕中度齒列擁擠 (1-6mm) (Crowding) 齒列間隙 (1-6mm) Read more

牙周病統合照護的緣起 牙周病的治療是個長期抗戰,在經過一開始的積極性治療後,還需Read more

1. 咬合不正的分類有哪些? 咬合的關係可以分成前後、橫向和垂直向來觀察,只要有Read more

1. 開始治療的年齡: 我的孩子幾歲作矯正最合適呢?美國與日本矯正學會都建議七歲Read more

牙周病的治療可分三階段 牙周病第一階段基本治療 牙周病第二階段手術治療 牙周維持Read more