1. 咬合不正的分類有哪些?
咬合的關係可以分成前後、橫向和垂直向來觀察,只要有一個方向的不正常我們就可以稱為咬合不正。矯正學之父Angle把咬合關係分成三類:
1. 正常咬合:牙齒排列良好,前後、橫向及垂直的關係良好。
2. 第一類咬合不正:前後關係良好,但牙齒排列不整齊。
第一級咬合 側臉正常
第一級咬合 上顎犬齒咬在下顎犬齒稍後方
3. 第二類咬合不正:上顎牙齒突出,下顎後縮,有暴牙或下巴短小的外型。
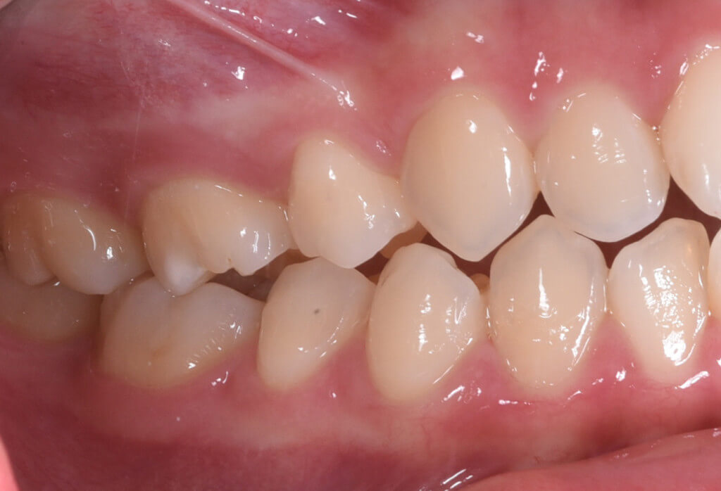
第二級咬合 側臉有下巴後縮傾向

第二級咬合 上顎犬齒幾乎在下顎犬齒之上
3. 第三類咬合不正:下齒列突出,下門牙咬在上門牙外側。
2. 咬合不正的原因
根據學者研究,多數咬合不正都來自於先天的遺傳。例如:上顎突出,前牙開咬,下巴過大,先天缺牙或多生牙等。
後天性的原因則有:
- 蛀牙:小朋友的蛀牙會造成萌牙空間的喪失,使得恆牙空間不足而排列不整。
- 乳牙提早喪失:乳牙的過早拔除,也會造成未來的萌牙空間不足。
- 上呼吸道不暢通:例如過敏、鼻中膈彎曲和扁桃腺腫大,這類病人常用口呼吸,容易引起上牙弓狹窄導致牙齒擁擠
- 唇繫帶或舌繫帶異常:繫帶肥厚容易造成正中門牙牙縫變大
- 不良的習慣:吐舌頭容易造成暴牙與前牙開咬,吸手指會使前牙開咬及暴牙,咬唇容易使前牙暴出。
我如何知道有沒有咬合不正?介紹咬合不正的分類與影響

請問開咬算是哪一類呢?
如果開咬的程度是左右兩側只有大臼齒有受到力的話,以改善咬合為前提的話,可以只作矯正嗎?(臉和下巴並無歪斜
開咬一至三級都有可能,能不能只靠矯正改善需要醫師現場評估喔.
有做舌側矯正嗎?
我半年前才突然發現我是第三種 之前都沒有這樣請問有可能是甚麼原因?..
我今年才16歲請問有什麼方法可改善嗎
因為下巴的生長是最晚完成的,可能要到18-20歲才停止生長.建議您可以到矯正醫師那邊諮詢,可以獲得比較完整的答覆喔.
已經矯正兩年多拆了之後,像第ㄧ張一樣,是本身牙齒偏移,還是矯正無拉回調整好?
您好
這部分要給醫師看過才能知道原因,並沒有辦法直接在線上給您答覆喔
已經23歲了,牙齒屬於第二級咬合,這樣矯正的話,是要動手術還是戴牙套就行,費用的部分也想瞭解
您好 是否需要動手術要看您的骨骼位置,及想要達到的效果來決定,建議您來診所諮詢,給醫師評估會較準確,矯正費用的部份範圍很大,約在10萬至14萬之間,謝謝!