Nini│ 冷光美白
笑起來總是甜甜的Nini是位美妝保養部落客 每件會讓自己變美變健康的事情 NinRead more
專注於自然、美學、細節

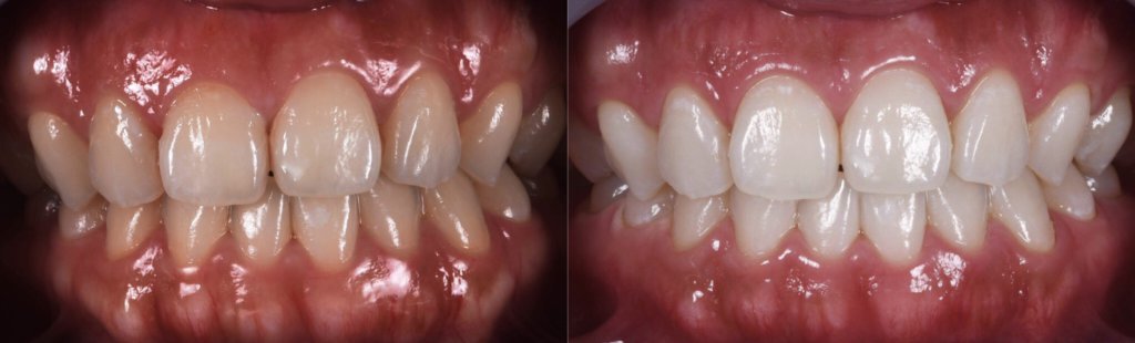
診間冷光美白:所有的療程都將在診間進行,搭配專用的LED冷光,可以在一小時內達到牙齒美白的效果.隨著美白的進行,可能慢慢會有牙齒敏感的感覺,術後的抗敏處理,將會把不適感降到最低.
居家美白:使用的藥劑濃度較低,相對的作用溫和,適合較有耐性的患者.在療程開始前,需要先製作一個客製化的美白牙托,在家中每天使用兩小時,約一至兩週就會有明顯效果.
冷光美白單次費用8000元,搭配居家美白套裝價13000元.
您可以電話或是網路留言預約諮詢的時間,通常諮詢完畢即可預約美白施作時間,美白當天醫師會檢查所有蛀牙並進行必要的填補,所以須預留1.5-2小時的療程時間.
懷孕婦女:目前並不確定牙齒美白對胎兒的影響,但還是建議美白不要在懷孕期間進行.
已經被根管治療過的門牙或已製作牙套的牙齒:抽過神經的牙齒,並無法靠牙齒美白來漂白牙齒,需進行齒內美白才有效果.
對過氧化氫過敏者 蛀牙或有不良的填補物:如果有上述情況需要先做填補再進行牙齒美白.
美白是一種相當安全的療程,並不會影響牙齒的健康,有些人在美白後會有短暫的牙齒敏感,症狀會在24小時之內緩解.研究也證實美白並不會造成長期性的牙齒敏感.另外牙齒表面的白斑與砝瑯質鈣化較差的地方,會在美白後顯得更明顯,但並不會對牙齒的健康有任何影響.
冷光美白效果約可持續3個月至半年,由於美白是種長期抗戰,如果是原本齒色較黃的患者,強烈建議搭配使用居家美白,可明顯拉長美白的效果.另外少吃深色飲食/戒菸/定期洗牙皆有助於美白效果的維持.
口中的贋復物並不會跟著牙齒變白,所以如果發生色差太大的情況,則建議更換.
茉莉使用德國原裝進口WHITEsmile 美白系統.
美白過後的第一天,由於牙齒脫水的緣故,外觀上看起來會特別白,約一兩天後,牙齒會有些回色然後開始穩定,但長期而言,牙齒依舊會因為日常的飲食及本身的體質,而回到原來齒色.因此建議搭配居家美白,可以較長期的維持住已經變白的齒色,或是規律的每三個月做一次冷光美白,將可以有效地維持亮白的牙齒.
全瓷貼片可以永久改變齒色,詳細介紹可以參考.




[contact-form][contact-field label='姓名' type='text' required='1'/][contact-field label='電話' type='text' required='1'/][contact-field label='Email' type='email' required='1'/][contact-field label='諮詢項目' type='textarea'/][/contact-form]
笑起來總是甜甜的Nini是位美妝保養部落客 每件會讓自己變美變健康的事情 NinRead more
愛喝咖啡的Jessie, 因為偏黃的齒色及下顎缺牙來茉莉求診。 做過矯正的她牙齒Read more
Minnie擁有一口漂亮的貝齒 牙齒的形狀與排列都很漂亮 唯一的缺點就是顏色偏黃Read more
