牙齒酸蝕指的是牙齒的琺瑯質因為外在的酸性腐蝕造成的流失現象,早期的流失不會有症狀,但長期下來可能造成牙齒敏感、蛀牙或咬合的變化.本文將從成因、診斷與治療方式,來介紹這個沉默的琺瑯質殺手.
牙齒酸蝕的表現
初期的酸蝕:牙齒會出現平滑甚至凹洞的表面,牙齒顯得沒有光澤.通常此時牙齒不會有任何症狀,但在例行性的牙醫檢查時,可能會被提醒注意.

中後期的酸蝕:琺瑯質大量流失之後,會露出內層較軟的象牙質,牙齒會開始變黃變薄,咬頭消失變平.

酸蝕的成因
飲食:酸性或甜的飲料、醋、果汁、酒都會造成牙齒酸蝕,適量的飲用並不會有嚴重的影響,過量的攝取高糖份飲料不但會造成酸蝕,也會有肥胖或糖尿病的問題.
胃酸食道逆流(GERD):胃酸逆流主要會影響牙齒的內側面,讓牙齒的舌側面變薄,21%-80%的胃酸逆流患者會有不等的牙齒酸蝕現象,目前牙齒酸蝕已經被列入胃食道逆流的主要副作用之一.
職業:試酒師,廚師由於工作需要飲用酸性的酒類或食物,也是牙齒酸蝕的高危險群之一.
酸蝕的預防
使用吸管:主要是減少酸性物質在牙齒表面停留時間,停留時間與範圍減少,可以降低琺瑯質軟化的程度,讓口水可以發揮中和酸性與修復琺瑯質功能.
飯後漱口:吃完東西之後立刻漱口,清水可加快清除口中酸性物質.需要注意的是吃完東西不要立刻刷牙,飲食過後琺瑯質處在軟化的狀態,抵抗磨耗的能力差,一般建議吃完東西30 分鐘後再刷牙.
使用含氟牙膏:使用市面上常見的含氟牙膏、含氟漱口水,能夠增強牙齒結構,降低酸性飲料對牙齒酸蝕的傷害;若是屬於口水分泌量較少的高危險族群,或是因職業需要經常要接觸酸性物質,可以諮詢牙醫師,使用專業的氟膠、氟漆,在牙齒表面形成保護層,降低牙齒直接接觸酸性物質的機會.
案例分享
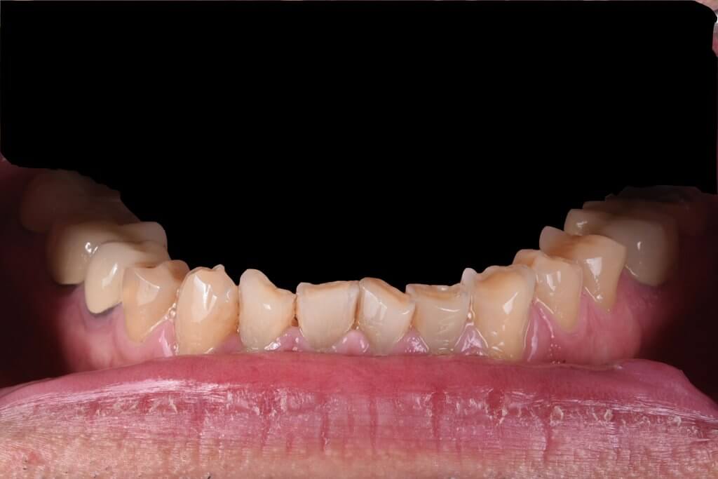
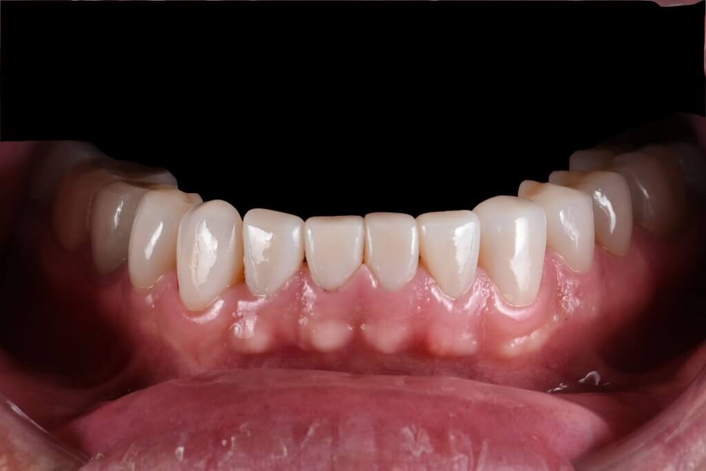
下排前牙嚴重磨耗導致敏感,可以發現已經露出內層黃色的象牙質

咬合深咬,上下前牙覆蓋多,會加速磨耗

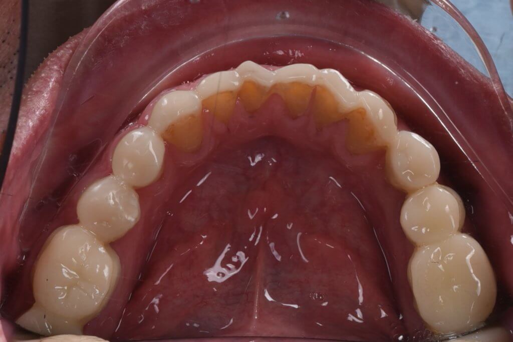
咬合面觀

採用下排牙齒全部墊高的方式治療,這個方法可以改善深咬,並且藉著墊高創造假牙空間,可以減少牙齒修磨,下圖是利用樹脂做墊高模擬

用來墊高的複合樹脂

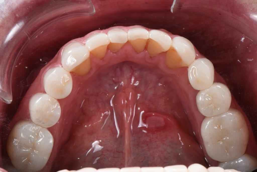
全口重建做咬合墊高,可以發現不須矯正,深咬已經改善

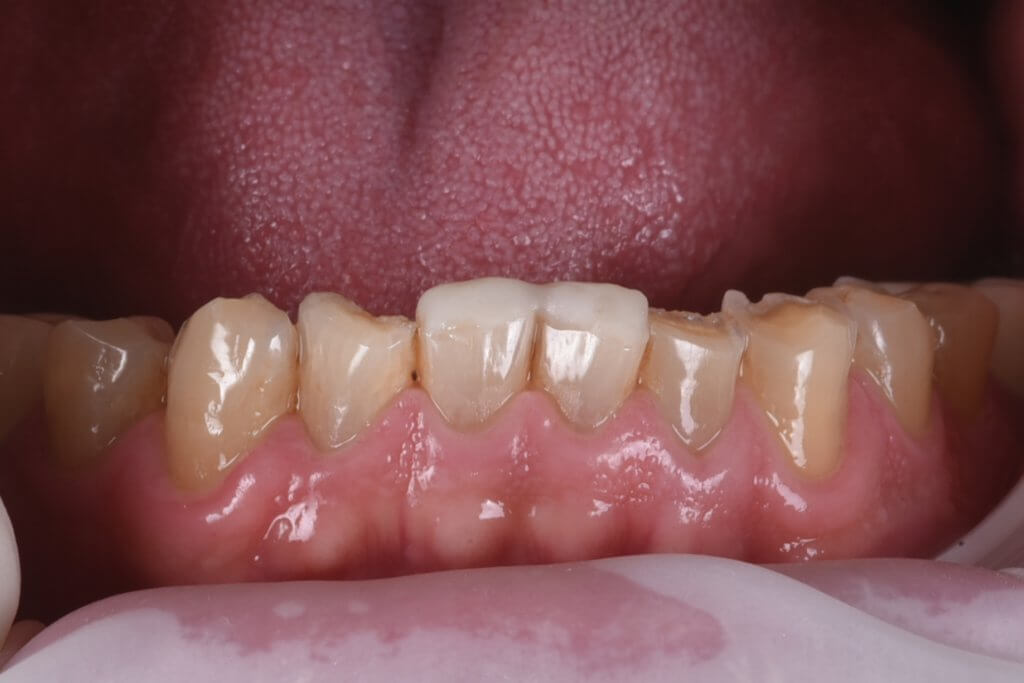
下排的咬合面皆黏上複合樹脂,原本牙齒不用修磨

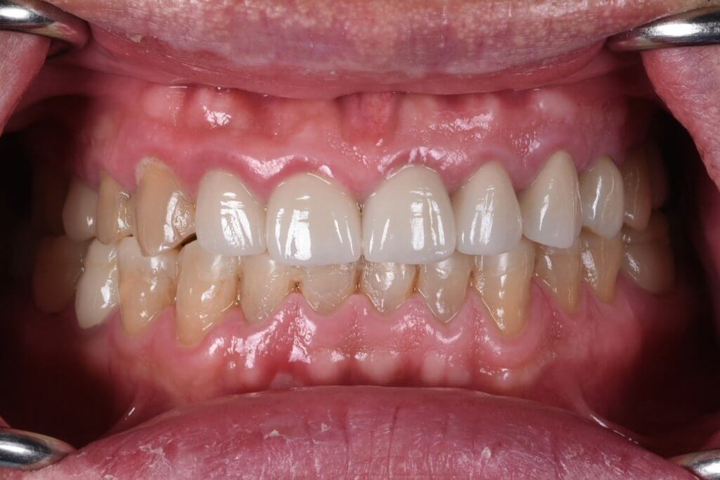
經過三個月適應後,前牙製作正式的陶瓷貼片,後牙則是全鋯冠

完成圖

深咬得到改善

咬合面用陶瓷貼片與全瓷冠覆蓋,可保護琺瑯質不再流失或是牙齒被酸蝕磨耗.



