患者的困擾:多年前做了陶瓷貼片,但笑容改善不多,希望有更亮白的顏色
1.主要訴求:
- 希望更換過去做的陶瓷貼片
- 下排牙齒不整齊
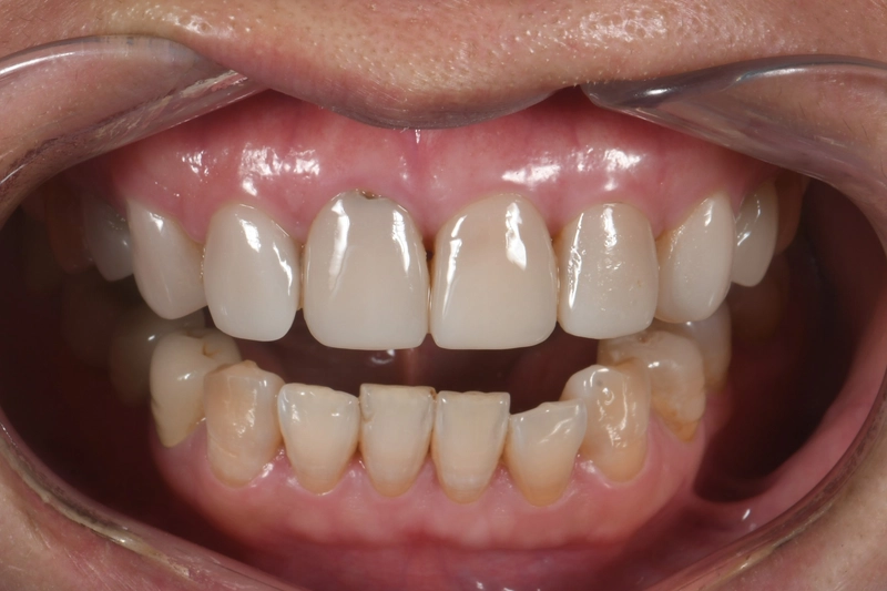
2.口內牙齒狀況與笑容分析:
- 排列:牙齒排列大致正常,側門牙相對正中門牙突出,未來製作方向會以內收側門牙,突顯正中門牙為方向.
- 蛀牙:舊的陶瓷貼片下可能有蛀牙
- 牙周病:無
- 牙齦對稱性:大笑時沒有露出牙齦.
- 露齒量:正常偏少,可以增加一些露齒量.

排列大致整齊,但是側門牙突出,影響整體笑容

下排牙齒不整齊,陶瓷貼片下存在著蛀牙
建議的解決方案:矯正調整前牙位置,更換陶瓷貼片
1. 術前準備工作:
- 建立正確刷牙習慣: 首先建立患者的正確的口腔清潔習慣,讓牙齦與口腔處於較健康的狀態,同時也對未來假牙完成後的維持有幫助.
- 口腔健康評估: 徹底檢查所有大範圍蛀牙的狀況,討論修復前需要先進行的基礎治療.
2. 美化前的矯正治療:
- 隱適美:目標是將牙齒排列到更美觀的位置,也可以減少未來牙齒的修磨量,同時下排也可排列整齊.由於是輕微調整,選擇Lite矯正方案,費用約為完整方案的一半.
- 矯正時間:半年.

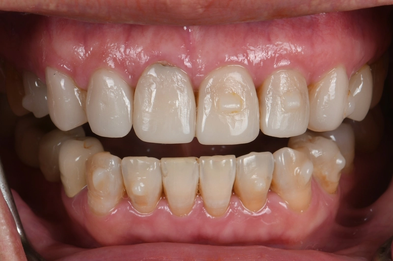
下排排列整齊,上排側門牙內推
3. 美學修復階段:
- 預計製作上排八顆陶瓷貼片
- 拆除舊貼片並做蛀牙填補動作.
- 口內外型模擬: 想當重要的一個步驟,模擬的樹脂貼片可以讓患者大概了解完成後的可能外型,同時可以讓醫師知道患者本身的需求與審美偏好,有助於更快達成共識.
- 材質:使用玻璃陶瓷,由於厚度充足,讓玻璃陶瓷有足夠的強度,良好的透光度可以讓貼片顯得不死白.
- 印模與貼片試戴:看製作顆數,大約各需半天的時間.
- 術後回診與定期檢查:假牙的維持建立在患者的清潔與使用習慣,回診的檢查主要確認清潔或咬合是否有問題,如果發現問題,及早介入,才能確保修復物的使用年限.

案例照片分享:




結語
有些人的觀念認為做了陶瓷貼片就不需要矯正,這是錯誤的.貼片的厚薄度跟牙齒可以修磨的量都有限,不可能藉由貼片去做矯正的事情,如果能藉由矯正先調整到理想的位置,那之後的貼片就可以在保留最多琺瑯質的前提下進行,相對的也可以延長陶瓷貼片的壽命.
案例006|舊陶瓷貼片更換與隱適美微調


