您是否也曾因「笑齦」而不敢開懷大笑?或是因「大範圍蛀牙」導致牙齒顏色不均、經歷無止盡的補牙循環?
本案例將由黃英泰醫師,為您深入解析一位患者如何從「笑齦與多重蛀牙」的困擾中蛻變,最終擁有一個持久且自然的完美笑容。
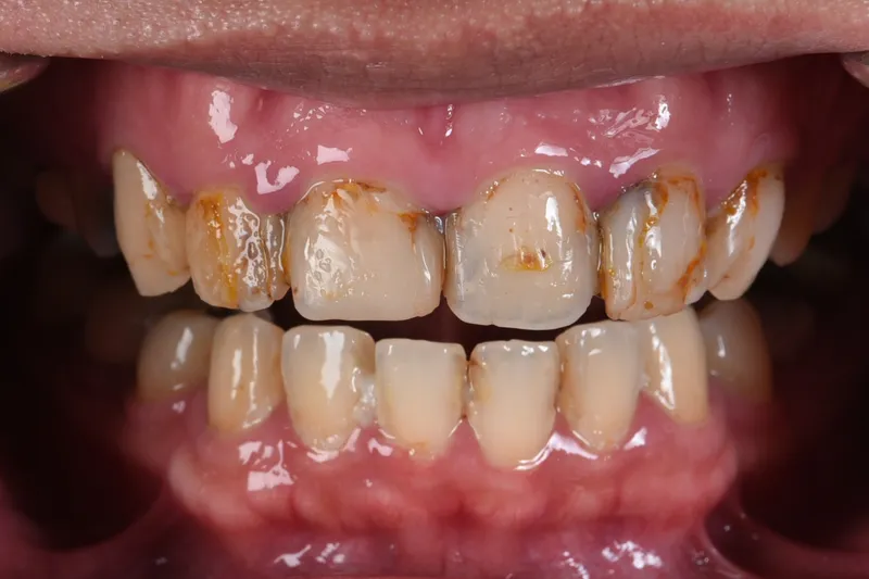
患者的困擾:笑齦、多重蛀牙希望可以永久修復
主要訴求:
- 笑起來會露出牙齦
- 且因蛀牙問題導致牙齒顏色不均勻,經歷多次補牙後,希望可以透過陶瓷貼片獲得一個更美觀且永久的修復方案。
口內牙齒狀況:
- 大範圍蛀牙: 牙齒有多處蛀牙,影響牙齒結構與整體美觀。
- 笑齦問題: 由於牙齦組織過度增生,導致笑起來時牙齦露出過多,影響笑容比例。
- 口水黏稠度高: 患者口水黏稠度較高,容易導致牙菌斑沾黏,增加了蛀牙和牙周問題的風險。


建議的解決方案:客製化「笑齦」與「陶瓷貼片」複合式美學設計
1. 術前評估:
- 建立正確刷牙習慣: 針對患者口水黏稠度高易沾黏牙菌斑的問題,醫師首先指導患者建立更有效的口腔清潔習慣,這是所有美學治療的基礎。
- 口腔健康評估: 徹底檢查所有大範圍蛀牙的狀況,確保牙齒基礎健康。
- 數位微笑設計 (DSD): 透過高科技數位口掃與影像分析,精準評估牙齒、牙齦與臉部的和諧度,設計出最適合患者的微笑曲線。
2. 牙齦美學重塑:
- 為了改善笑齦問題,我們為患者進行了上排八顆美觀性牙冠增長術。這項微創手術能精準調整牙齦線條,讓牙齒露出更多,使笑容比例更完美。
- 術後需等待約六個月的牙齦穩定恢復期,讓牙齦位置穩定,避免假牙完成後牙齦的變化。
3. 陶瓷貼片:打造均勻亮白的牙齒形態
- 牙齦恢復穩定後,我們為患者製作了上排八顆陶瓷貼片。
- 材質: 使用歐洲 Ivoclar Vivadent 的 e.max 瓷塊,為目前文獻研究最完整的材質,擁有許多超過十年的追蹤資料,可確保長期使用的品質。
- 貼片不僅遮蓋了蛀牙造成的顏色不均,更同時修復了牙齒形態,讓牙齒排列視覺上更整齊,與調整後的牙齦線條完美配合。


案例照片分享:



結語
這位患者的案例證明,透過專業的診斷、客製化的治療計畫。陶瓷貼片不僅能解決單一的牙齒問題,更能整合多重美學考量,打造一個持久且令人滿意的笑容。
案例001|笑齦、大範圍蛀牙的修復與重建流程
