從取完矯正資料、看報告到拿牙托大約需要20天的時間,SOV將做好的牙托模型送到診所,診所再通知我來拿,而隱形矯正究竟要怎麼戴怎麼使用今天終於可以揭曉啦!

承上圖,第一組拿到的牙托看起來是不是很像禮物盒
!SOV的包裝設計讓人迫不及待的想趕快拆開來看看~![]()
![]()
![]()
![]()

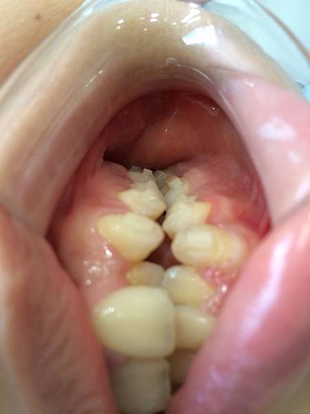
打開來最先看到的牙齒模型3D的樣子,凌亂不整的樣子現在一眼看去就更明顯了啦!!
(PS.上面一顆一顆的小豆豆是到時醫生會幫我加上去的小裝置)


裡面還有一本使用說明書,翻了一下大概是告訴你如何保養牙托,一天要戴多久還有其他的注意事項等等……
右圖是牙托盒,很貼心的是它附上了兩個,防範像我一樣迷迷糊糊可能會弄丟的人吧!!![]()


這個上面寫說是張口器,應該是之後才會用到的吧~之後再來研究看看!!裝上去不知道是不是會變得很好笑~哈哈![]()

再來裡面最重要的當然就是牙托啦,一包一包的好像糖果袋唷~![]()
![]()
![]()
不專業開箱文就介紹到這裡,以為拿了就走嗎?醫生說會留大約一個小時的時間幫我加上裝置小豆豆,並且教我該怎麼戴~真的是很期待耶!!![]()

這些是裝小豆豆那天使用到的器械及工具!雖然很期待但心裡感覺還是有點怕怕的,好在醫生很溫柔的跟我說不用擔心,不會痛就跟補蛀牙用到的東西差不多!我才放下心裡的一顆大石頭。

右邊的圖卡是它們標示需要黏豆豆的位置,而左圖是SOV將治療計劃寄給醫生讓醫生參考~而究竟甚麼是豆豆?黏在牙齒上的豆豆是做甚麼用的?我問了一下醫生,醫生說它的作用類似傳統的一顆一顆矯正器,它可以讓牙托更緊密的卡榫在牙齒上,這樣牙齒比較能按照進度移動,如果只是單純靠牙托的力量很難拉動牙齒達到移動的目的,使得矯正效果不如預期!原來這些豆豆才是隱形矯正的靈魂所在呀!![]()
![]()
![]()
![]()
![]()
這些豆豆要如何裝上去呢?
他跟補牙的過程的很像,黏上去的豆豆其實就是我們一般補牙用的材料。


助理姊姊把豆豆的材料填進去模板裡(顏色跟自己牙齒很像,不用擔心會很明顯)![]()



牙齒經過一連串的表面處理後,把剛剛填好材料的模板放上牙齒然後照光硬化再將多餘的材料修磨掉就完成了!!!

噔噔~就這樣最後完成的小豆豆長這個樣子啦!一顆一顆得像玉米粒一樣~(醫生說牙托長期拿上拿下,豆豆還是會有磨損的可能,到時再請醫生幫我們補上去唷。)
當天的最後,醫生要我拿練習用的牙托回去戴兩個禮拜,叫我務必好好適應它(助理姐姐教我怎麼穿脫牙套,一開始真的很緊很難拿弄得我滿手口水一度覺得我根本辦不到阿阿阿阿
,但他們很有耐心,還是努力不懈的教我~真心希望我能早點適應阿!!!)![]()


兩個禮拜後~~
練習戴牙托之後的兩個禮拜回診,醫生說這次要來”修牙縫”,矯正畢竟是要把擁擠牙齒排整齊,但如果空間不足就無法將牙齒排正,我評估的結果是不用拔牙(呼~鬆了一口氣),只需要修磨牙縫就夠了。很多人都擔心,修牙縫會不會傷害到牙齒,我當然也有這個疑慮所以也問過醫師了~修的量都在合理的範圍內,每次修也只修一點點而已。所以也不用太過擔心。![]()

修牙縫的指示卡,藍色三角形表示要修的位置。


上圖為修縫用的工具,醫生先修出一個縫隙,再用像小鋸子的工具慢慢磨縫,直到磨出需要的空間為止。


修完縫之後,就能拿到第一階段的3附牙托啦!醫生先幫我試戴第一附(醫生終於露臉了!!,調整到能戴的程度之後,我的隱形矯正人生終於正式開始囉~~~~~(灑花~)
)![]()
![]()
![]()
PS.拿到正式牙托之後回診時間就變成大約一個月一次(還是以醫生指示為主),但中間如果有問題,一定要記的告知醫生再回來調整唷!![]()

單一顆的陶瓷貼片價位是大概多少錢呢?
您好 單顆貼片的費用是23000喔!