一般而言,前牙的植牙會比後牙植牙要來得複雜,因為門牙不僅要有咀嚼的功能外還需要美觀.要讓植牙穩固的骨整合成功也許不難,但要讓植牙可以宛如真牙,牙齒與牙肉和諧無破綻,可就處處考驗醫師的技術與病人的配合度了.以下介紹一例前牙重建的病例,讓大家了解前牙植牙的步驟.
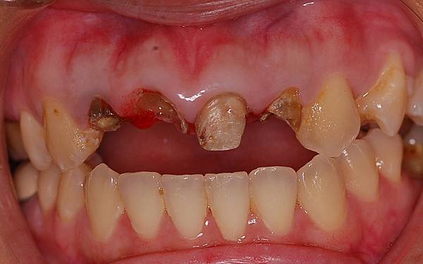
一位二十多歲的年輕女性,已經用了十多年的門牙牙套出了狀況,下圖是拆除牙套後的樣子.
正面觀
治療計畫是拔除上顎兩顆側門牙,以植牙修復,正中門牙則重做牙套,同時連接在一起,增加強度.
在植牙手術完成後,等待四個月開始製作臨時假牙,同時仔細調整臨牙,讓植牙的牙肉部分可以被塑形成理想的狀態.取下臨時假牙,可以看到已經被塑形成熟的牙肉
取下的臨時假牙
將取下的臨時假牙包覆,以複製假牙的出齦外型
複製好的牙齦外型
再將牙肉外型移轉到植牙的轉印體上
利用客製化的轉印體印模
製作完成的客製化植牙支柱
完成的前牙牙套
將所有零件裝上
完成圖
側面觀
門牙牙套失敗後的植牙重建

正面觀



複製好的牙齦外型

製作完成的客製化植牙支柱
完成的前牙牙套
將所有零件裝上
完成圖
側面觀
