
甜美可愛的粿粿是棒球啦啦隊的新成員之一,總是在場上給觀眾百分百活力的她,潔白與燦爛的笑容充滿了感染力.米果的牙齒本來已經大致整齊,但有著顏色不夠白與咬合不夠緊密的問題.為了讓笑容更升級,又不影響外觀與工作的前提下,米果選擇了隱形矯正,先將咬合排列到更好的位置.比較好的咬合,有助於咀嚼與延長日後陶瓷貼片的壽命.
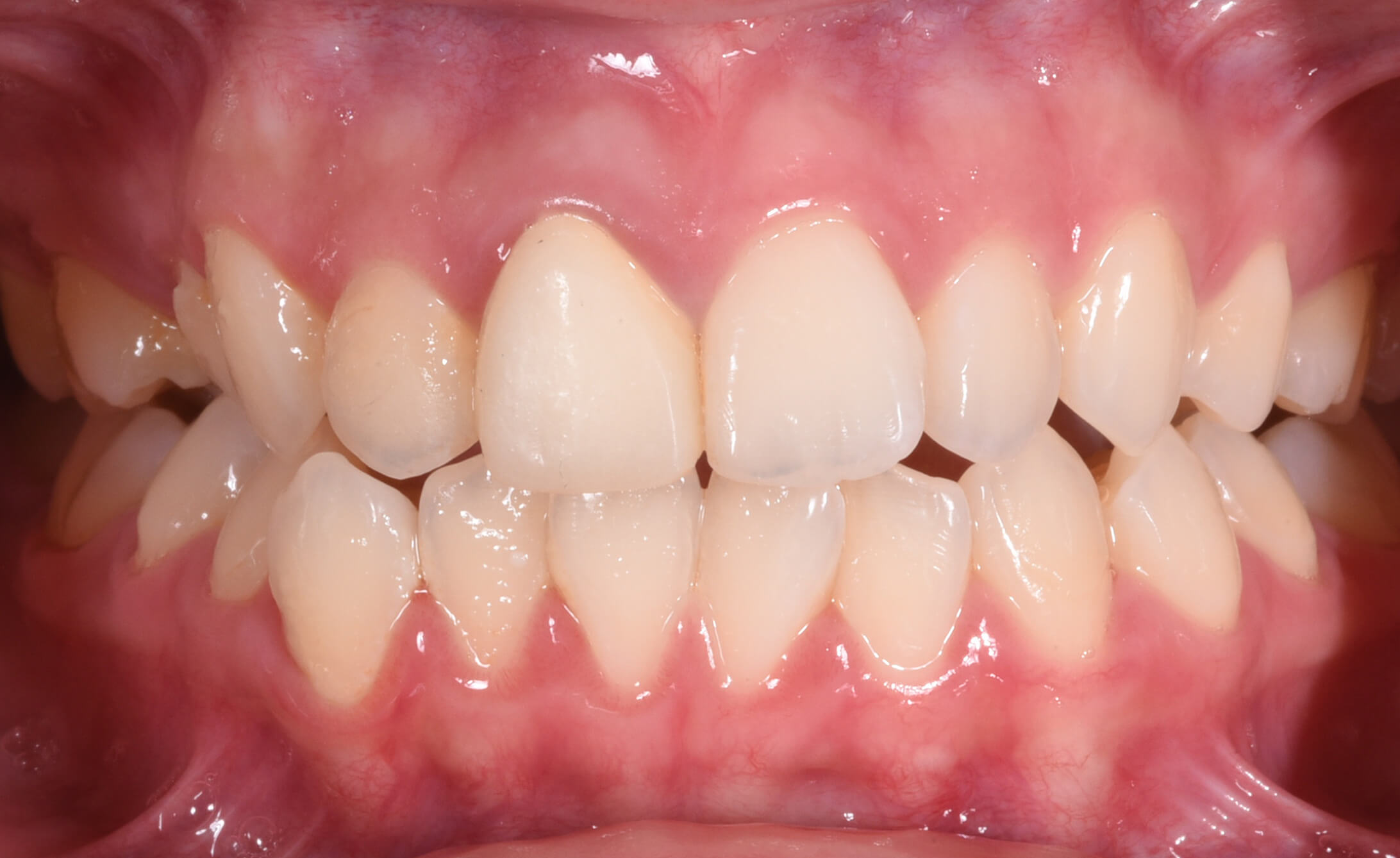
原本的咬合不夠緊密,顏色也不夠白
經過兩年的矯正,最後製作八顆全瓷冠與陶瓷貼片,材質使用Empress Multi BL2,Empress 瓷塊多層次的顏色設計,讓我們即使選擇第二白的顏色,牙齒在白皙之餘卻不會死白.


職棒啦啦隊一直都是場上的嬌點,有了她們的存在,讓原本精采的球賽,有了更加分的效果.陶瓷貼片就像職棒場上的啦啦隊,能幫助笑容升級,對自己更加自信,也能將自己的喜悅,傳染給周遭的人.



部分圖片來源:米果因司塔格蘭
粿粿|全瓷冠與美白陶瓷貼片

